NCS - MORFO - SP 2.3 - 10/10/24
- thikow

- 10 de out. de 2024
- 4 min de leitura
Atualizado: 12 de nov. de 2024
MORFO - SP 2.3
Sincíciotrofoblasto se insere na parede do útero, sendo que o endométrio não é expulso. Lugar onde implanta é chamado de decidua basal. O endométrio envolve o saco vitelínico sendo chamado de decidua capsular e a decidua parietal que fica em volta do miométrio.
Nem tudo passa pela placenta e chega ao feto.
Tipos de transporte:
-Difusão simples --> Gases, homonios lipossolúveis, gordura e aminoácidos
-Difusão facilitada --> Glicose, AA hidrossolúveis (tripeptideos e dipeptídeos)
-Pinocitose --> Imunoglobulina (IgG) e hormônios grandes (GH e insulina)
-Aquaporina --> Eletrólitos diluídos na água passam junto da água
-Bactéria e vírus não devem, porém podem passar

Placenta posicionada de corretamente mas invade
Placenta acreta --> No limite entre o endométrio e o mio
Placenta increta --> invade o miométrio (precisa de intervenção cirúrgica)
Placenta percreta --> pode invadir a serosa (pode atravessar a serosa e atingir qualquer órgão)

Placenta prévia por cesárea, tabagista, pode levar as alterações acima.
*Placenta previa 28ª semana a placenta está abaixo da altura da cabeça do feto – Próxima ao colo – Adesão correta no endométrio, mas posição errada.
Existem 4 tipos:
-Baixa
-Marginal --> Já está beirando a margem do óstio (sem obstruir)
-Parcial --> Está obstruindo parcialmente (até 50% do orifício preenchido por ela) – Necessária a cesárea
-Completa --> Cobre todo o óstio – Também necessita de cesárea
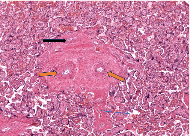
Histologia

Triangulo --> Nó sincicial --> Só aparece em gestações avançadas

Endotélio dos capilares --> Espaços onde se veem as hemácias (setas pretas)

Capilares --> Seta Azul | Veia --> Setas pretas | Artéria --> Seta laranja grande
Fluxogramas de triagem das doenças virais e bacterianas
Vai ser utilizado dependendo da sua realidade. Ex: HIV tem que fazer 2 testes sendo o segundo com no mínimo uma maior especificidade.
Sífilis
VDRL --> Não treponêmico (teste de triagem – mais barato) --> Utilizado na triagem da sífilis --> Pesquisa reagininas, que são anticorpos produzidos contra as feridas das áreas infectadas. A sífilis libera muita cardiolipina, sendo que, as reagininas se ligam a cardiolipina.
Cardiolipina pode aparecer em outros processos infecciosos --> Todo paciente que tiver sífilis vai positivar para VDRL. Porém nem todo paciente que tem o VDRL positivo é por conta da sífilis. Baixa especificidade por reação cruzada com outras doenças.
No laboratório é feito através do soro do paciente mais o regente de VDRL. É colocada em uma placa concava que quando o anticorpo se liga vai gerar uma floculação (positivo para VDRL).
Efeito pro-zona --> Excesso de anticorpo para pouco reagente, não formando a floculação --> Falso negativo. VDRL deve ser feito em amostra pura e diluída, assim, caso haja muito anticorpo, vai constar na diluição.
FTA-ABS --> Treponêmico (alta especificidade – Padrão Ouro – mais caro) --> Esse identifica anticorpo contra a sífilis --> Tem uma lâmina com bactéria sensibilizando a lâmina, onde se coloca o soro do paciente. Junto com o kit vem um anticorpo conjugado e um flúorocromo (reagente). Após lavagem da lâmina coloca-se o anticorpo conjugado fluorescente anti-imunoglobulina humana. Utiliza-se um microscópio de imunofluorescência, quando agita a lâmina no microscópio o brilho vai aparecer e vai demonstrar a ligação do anticorpo, anti-anticorpo e bactéria.
Toxoplasmose
Primeira imunoglobulina que aumenta no contato com a doença é o IgM (fase aguda até 18 meses), seguida pela IgG (fase crônica). Ambas positivas precisam de teste de avidez, que pode apresentar baixa ou alta avidez. Quanto mais baixa avidez é uma infecção recente, quanto mais alta é uma infecção tardia.
Lavagem dos alimentos, contato com as fezes do gato.
Site DPDX


Hepatite (A, B, C, D e E)
Prevalência de B e C no Brasil --> Anos 80 nas transfusões de sangue era utilizada material para transfusão que não eram descartáveis, consequentemente muitas pessoas com Hepatite C.
Hepatite A --> Saneamento básico
Hepatite B e C --> Materiais, contato sanguíneo e por via sexual.
Quando tem o Ag é o antígeno
Quando tem anticorpo, é o anticorpo produzido contra esse antígeno. (Anti HBs-Ag – resposta vacinal)
HIV
P24 --> Capsídeo viral (a partir da segunda semana)
PCR --> (RNA) A partir da primeira semana
Para profilaxia --> Precisa fazer um teste rápido para ver se ele já não tinha HIV (para poder fazer profilaxia)
*Elisa (Imunoensaio) --> 1981 --> Primeiro exame para detectar se a pessoa tem IgG no Brasil (ELISA 1ª geração) --> Quanto antes você descobrir e antes você começar a tratar melhor a sobrevida do paciente. Veio o Elisa de 2ª geração que detecta IgM e IgG. Elisa de 3ª geração detecta proteína p24 do vírus no paciente.
PCR --> Amplifica as cadeias de DNA e detecta o RNA.
Primeiro teste alta sensibilidade (eliminar falsos negativos), seguidos por um teste de alta especificidade (para eliminar os falsos positivos).


Reflexão: Hoje vimos muita matéria nova, porém nada que assuste muito. Vimos sobre placenta, seus vários nomes e possibilidades (os quais teremos que decorar e mais pra frente saber) e sobre exames utilizados pelas gravidas (sorologias e culturas). Medlab e anatomia gosto bastante por ser uma parte que sou apaixonado e consequentemente entendo. Já a parte de placenta... Só com muito café!
Agora é chegar em casa e rever a matéria para ver se fixamos melhor todos esses nomes novos!




Comentários