NCS - MORFOLOGIA - 11/05/23 -SP 3.3
- thikow

- 11 de mai. de 2023
- 28 min de leitura
Atualizado: 25 de mai. de 2023
SP 3.3 - Em busca da perfeição
1 - Quais são os 3 tipos células mais relevantes da mucosa gástrica e suas funções.
a) Células mucosas: células epiteliais cilíndricas - produzem muco
b) Células parietais: epiteliais colunares - produzem ácido clorídrico
c) Células principais ou zimogênicas: produzem enzimas.
-Quando inativa: pepsinogênio.
-Qual liberada na luz do estômago: pepsina.

2 - Localização topográfica do estômago.
Localiza-se no hipocôndrio esquerdo e parte final, na região epigástrica.
3 - Quais as partes macroscópicas do estômago?
Partes: cárdia, fundo, corpo, curvatura maior e menor e parte pilórica.

Sistema Digestório
O sistema digestório é constituído pelo trato digestório (cavidade oral, esôfago, estômago, intestinos delgado e grosso) e suas glândulas associadas (glândulas salivares, fígado e pâncreas).
A deglutição, a digestão e a absorção ocorrem por todo o tubo digestório ou alimentar, um conduto muscular oco de 7 a 10 m de comprimento. O processo digestório converte o alimento em uma forma solúvel fácil para ser absorvida pelo intestino delgado. A eliminação de resíduos insolúveis e outras substâncias é a função do intestino grosso.
Histologicamente o tubo digestório é formado por 4 camadas, ou túnicas, principais: (1) uma camada mucosa interna, ao redor do lúmen, (2) uma camada submucosa, (3) uma camada muscular externa, e (4) uma camada adventícia ou serosa.
A camada mucosa interna apresenta variações significativas ao longo do tubo digestório e é subdividida em três componentes: (1) uma camada epitelial, (2) uma lâmina própria de tecido conjuntivo, e (3) uma camada muscular da mucosa de músculo liso.
Boca
A boca é a entrada do tubo digestório. A ingestão, a digestão parcial e a lubrificação do alimento, ou bolo alimentar, são as principais funções da boca e de suas glândulas salivares associadas.
A boca ou cavidade oral, inclui os lábios, as bochechas, os dentes, a gengiva, a língua e o palato. Com exceção dos dentes, a boca é revestida pelo epitélio pavimentoso estratificado, com uma submucosa presente em certas regiões.
Os lábios possuem três regiões: (1) a região cutânea, (2) a região vermelha, e (3) a região da mucosa oral.
A região cutânea é revestida por pele delgada (epitélio pavimentoso estratificado queratinizado) e derme com glândulas sudoríparas, sebáceas e folículos pilosos. A região vermelha é revestida por epiderme sustentado por papilas dérmicas altas contendo vasos sanguíneos responsáveis pela cor dessa região. A região da mucosa oral é contínua com a mucosa das bochechas e das gengivas.
O epitélio pavimentoso estratificado não queratinizado que recobre a superfície interna dos lábios e das bochechas é sustentado por uma lâmina própria densa e uma submucosa, intimamente ligada aos músculos esqueléticos subjacentes através de fibras colágenas de tecido conjuntivo.
A gengiva é semelhante a região vermelha dos lábios, exceto em sua borda livre, onde uma queratinização significativa é observada. A lâmina própria da gengiva une-se intimamente ao periósteo do processo alveolar da maxila e da mandíbula e ao ligamento periodontal. A gengiva não possui submucosa e nem glândulas.
O palato duro é revestido por um epitélio pavimentoso estratificado queratinizado semelhante ao epitélio da borda livre da gengiva. Uma submucosa está presente na linha média, mas ausente na área subjacente à gengiva. Fibras colágenas na submucosa unem a mucosa do palato duro ao periósteo do osso subjacente.
O palato mole e a úvula são revestidos por epitélio pavimentoso estratificado não queratinizado que se estende até a orofaringe, onde se torna contínuo com o epitélio pseudo-estratificado cilíndrico ciliado do trato respiratório superior. A submucosa é frouxa e contém glândulas mucosas e glândulas serosas em abundância. Fibras musculares esqueléticas estão presentes no palato mole e na úvula.
Língua
Os dois terços anteriores da língua são formados por uma massa central de fibras musculares esqueléticas orientadas em três direções: longitudinal, transversal e oblíqua. O terço posterior apresenta agregados de tecido linfoide, as tonsilas linguais.
A superfície dorsal da língua é revestida por um epitélio pavimentoso estratificado queratinizado sustentado por uma lâmina própria associada à musculatura central da língua. Glândulas mucosas e serosas se estendem até a lâmina própria e pela musculatura. Seus ductos se abrem em criptas e sulcos das tonsilas línguais e das papilas circunvaladas, respectivamente.
A superfície dorsal da língua contém numerosas projeções da mucosa denominada de papilas línguais. Cada papila lingual é formada por uma parte central de tecido conjuntivo altamente vascularizado e uma camada de epitélio pavimentoso estratificado. De acordo com o seu formato, as papilas línguais podem ser divididas em quatro tipos: (1) papilas filiformes (cônicas e estreitas), as mais abundantes; (2) papilas fungiformes (formato de cogumelo); (3) papilas circunvaladas, e (4) papilas foliadas (em forma de folha), rudimentares em humanos, mas bem desenvolvidas em coelhos e macacos.
Os corpúsculos gustativos são encontrados em todas as papilas línguais, exceto nas papilas filiformes. Os corpúsculos gustativos são estruturas epiteliais em formato de barril contendo células quimiossensoriais chamadas células receptoras gustativas. Essas células estão em contato sináptico com as terminações dos nervos gustativos.
As papilas circunvaladas estão localizadas na parte posterior da língua, alinhadas à frente do sulco terminal. Cada papila circunvalada ocupa uma reentrância na mucosa e, por isso, ela é circundada por um sulco ou vala circular.
Glândulas serosas, ou glândulas de von Ebner, no tecido conjuntivo, em contato com a musculatura subjacente, estão associadas as papilas circunvaladas. Os ductos dessas glândulas se abrem no fundo dos sulcos circulares.
As regiões laterais das papilas circunvaladas e as paredes laterais dos sulcos contêm vários corpúsculos gustativos. Cada corpúsculo gustativo, dependendo da espécie é formado por 50 a 150 células, com estreitas extremidades apicais que se estendem até um poro gustativo. Um corpúsculo gustativo contém 3 componentes: (1) células receptoras gustativas, (2) células de sustentação, (3) e células precursoras (ou células basais).
As células precursoras gustativas têm um tempo médio de vida de 10 a 14 dias. Elas dão origem às células de sustentação (ou células gustativas imaturas), que por sua vez, se tornam células receptoras gustativas maduras. A porção basal de uma célula receptora gustativa está em contato com uma terminação nervosa aferente derivada de neurônios em gânglios sensitivos dos nervos, facial, glossofaríngeo e vago.
Doce, azedo, amargo e salgado são as quatro sensações clássicas do sentido do paladar. Uma sensação específica de um sabor é gerada por uma célula receptora gustativa específica. O nervo facial transmite todos os sabores; o nervo glossofaríngeo transmite as sensações de sabores doce e amargo.

Organização geral do tubo digestório
Exceto pela cavidade oral o tubo digestório apresenta uma organização uniforme. Esta organização é caracterizada por variações distintas e significativas, que refletem as mudanças na atividade funcional.
Após a cavidade oral, o tubo digestório se diferencia em quatro órgãos principais: esôfago, estômago, intestino delgado e intestino grosso. Cada um destes órgãos é formado por quatro camadas concêntricas: (1) a mucosa, (2) a submucosa, (3) a túnica muscular, e (4) a adventícia ou serosa.
A mucosa possui três componentes: o epitélio de revestimento, a lâmina própria subjacente, formada por tecido conjuntivo frouxo vascularizado e uma delgada camada de músculo liso, a camada muscular da mucosa.
A túnica mucosa apresenta variações significativas que de segmento para segmento no trato digestório.
A submucosa é formada por tecido conjuntivo denso não modelado com grandes vasos sanguíneos, vasos linfáticos e nervos que se ramifica na mucosa e na túnica muscular. Glândulas estão presentes na submucosa do esôfago e duodeno.
A túnica muscular contêm duas camadas de músculo liso: a camada circular interna, organizadas ao redor do lúmen do tubo, e a camada longitudinal externa, dispostas ao longo do tubo. A contração das fibras musculares da camada circular interna diminui o lúmen; a contração das fibras da camada longitudinal externa encurta o tubo. Fibras musculares esqueléticas estão presentes na porção superior do esôfago e no esfíncter anal.
A camada adventícia do trato digestório é formada por várias camadas contínuas de tecido conjuntivos adjacentes. Quando o tubo digestório é suspenso por uma prega do mesentério ou peritoneal, a camada adventícia é recoberta por um mesotélio, constituído de epitélio simples pavimentoso, e sustentada por uma delgada camada de tecido conjuntivo, que juntas forma uma serosa, ou membrana serosa.

Esôfago
O esôfago é um órgão tubular que liga a faringe ao estômago. Sua função é transportar alimento da boca ao estômago.
A mucosa esofágica é formada por epitélio pavimentoso estratificado não queratinizado. De modo geral, o esôfago possui as mesmas camadas que o resto do trato digestivo. A mucosa e a submucosa no esôfago não distendidos formam pregas longitudinais que dão um aspecto irregular ao lúmen. Conforme o bolo alimentar se move para baixo no esôfago, as pregas desaparecem temporariamente, e em seguida, são restauradas devido à fibras elásticas da submucosa.
Na submucosa existem grupos de pequenas glândulas secretoras de muco, as glândulas esofágicas, cuja secreção facilita o transporte de alimentos e protege a mucosa. Na lâmina própria da região próxima ao estômago existem grupos de glândulas, as glândulas esofágicas da cárdia, que também secretam muco.
A composição das camadas circular interna e longitudinal externa da túnica muscular mostra variações dependentes do segmento. No terço superior do esôfago, ambas as camadas são formadas por músculo estriado esquelético. No terço médio, fibras musculares lisas podem ser observadas misturadas às fibras musculares estriadas esqueléticas. No terço inferior, ambas as camadas contêm células musculares lisas.
Apenas a parte do esôfago que está na cavidade peritoneal é recoberta por uma membrana serosa. O restante é envolvido por uma camada de tecido conjuntivo, a adventícia, que se mistura, com o tecido conjuntivo circundante.
Estômago
O estômago, similarmente ao intestino delgado, é um órgão que exerce funções exócrinas e endócrinas, digerindo o alimento e secretando hormônios. Trata-se de um segmento dilatado do trato digestório, cuja função principal é transformar este bolo alimentar em uma massa viscosa (quimo).
No estômago são identificadas quatro regiões: cárdia, fundo, corpo e piloro. As regiões do fundo e corpo possuem estrutura microscópica idêntica e, portanto, histologicamente apenas três regiões são consideradas.
O estômago vazio apresenta pregas da mucosa gástrica, ou rugas, cobertas por fossetas ou fovéolas gástricas.
Mucosa
O epitélio que recobre a superfície do estômago é cilíndrico simples com células secretoras de muco. Esse epitélio sofre invaginações em direção à lâmina própria, formando as fossetas gástricas. No fundo dessas fossetas, na lâmina própria, se abrem muitas glândulas pequenas, que são estruturalmente diferentes dependendo da região considerada.
A lâmina própria do estomago é composta por tecido conjuntivo frouxo contendo fibras colágenas e reticulares, já as fibras elásticas são raras. Separando a mucosa da submucosa adjacente existe uma camada de músculo liso. A muscular da mucosa.
Região cárdia
A cárdia é uma banda circular estreita, com cerca de 1,5 a 3,0 cm de largura, na transição entre o esôfago e estômago. Sua mucosa contém glândulas tubulares enoveladas que se abrem nas fossetas gástricas, denominadas glândulas da cárdia. Suas células secretoras produzem muco e lisozima, mas algumas poucas células produtoras de H e Cl, também podem ser encontradas.
Fundo e corpo
A lâmina própria da região do corpo e fundo está preenchida por glândulas tubulares ramificadas (glândulas fúndicas) das quais três a sete abrem-se no fundo de cada fosseta gástrica. As glândulas possuem três regiões distintas: istmo, colo e base. A distribuição dos diferentes tipos celulares epiteliais nas glândulas gástricas não é uniforme. O istmo possui células mucosas em diferenciação que substituirão as células da fosseta e as superficiais, células-tronco indiferenciadas e células oxínticas (parietais); o colo contêm as células mucosas do colo, células-tronco mitoticamente ativas e células parietais; e a base, representando a maior parte da glândula, contém principalmente células parietais e zimogênicas.
As células mucosas superficiais revestem a superfície da mucosa gástrica e das fossetas gástricas. As células enteroendócrinas estão distribuídas pelo colo e base das glândulas.
As glândulas fúndicas possuem cinco tipos celulares principais: (1) células mucosas do colo, (2) células principais ou zimogênicas, (3) células parietais ou oxínticas, (4) células tronco, e (5) células enteroendócrinas ou gastroenteroendócrinas (também denominadas células enterocromafins, devido a sua afinidade de coloração por sais ácidos de cromo).
A porção superior do corpo da glândula fúndica contém células parietais em abundância. As células principais e as células gastroenteroendócrinas predominam na porção inferior.
A mucosa gástrica do corpo e fundo possui duas classes de células produtoras de muco: (1) as células mucosas superficiais, que revestem as fossetas, e (2) as células mucosa do colo, localizadas na abertura da glândula fúndica na fosseta.
Tipos celulares da região fúndica
Células-tronco
Encontradas em pequenas quantidades na base do istmo e colo, as células-tronco são colunares baixas com núcleos ovais próximos da base da célula. Estas células possuem uma elevada taxa de mitoses, algumas delas movem-se para a superfície para repor as células mucosas superficiais e da fosseta, que se renova a cada 4-7 dias. Outras células filhas migram mais profundamente nas glândulas e se diferenciam em células mucosas do colo ou parietais, zimogênicas ou enteroendócrinas. Estas células são repostas muito mais lentamente que as células mucosas superficiais.
Células mucosa do colo
Estas células são observadas agrupadas ou isoladamente entre as células parietais no colo das glândulas gástricas. Sua secreção mucosa é diferente daquela proveniente das células epiteliais mucosas da superfície. Elas possuem formato irregular, com núcleos na base das células e os grânulos de secreção próximos da superfície apical.
Células oxínticas (parietais)
Células parietais estão presentes principalmente na metade superior das glândulas gástricas e no colo; elas são escassas na base. São células arredondadas ou piramidais, com um núcleo esférico que ocupa a posição central e citoplasma intensamente eosinofílico. As características mais marcantes observáveis ao microscópio eletrônico em células que estão secretando ativamente são uma abundância de mitocôndrias (eosinofílicas) e uma invaginação circular profunda da membrana plasmática apical, formando um canalículo intracelular.
Células parietais secretam o ácido clorídrico do suco gástrico e o fator intrínseco, uma glicoproteína que se liga à vitamina B12 para facilitar a sua absorção no intestino delgado. A vitamina B12 se liga no estômago ao fator intrínseco. No intestino delgado, o complexo vitamina B12 – fator intrínseco se liga ao receptor para o fator intrínseco localizado na superfície dos enterócitos do íleo e é transportado para o fígado pela circulação porta.
Células zimogênicas ou principais
Predominam na região inferior da glândula fúndica. As células principais não estão presentes nas glândulas cárdicas e raramente são encontradas no antro pilórico. A células principais possuem todas as características de células que sintetizam e exportam proteínas. Sua basofilia se deve ao retículo endoplasmático rugoso abundante. Secretam a enzima inativa pepsinogênio que é rapidamente convertido na enzima pepsina após ser secretado no ambiente ácido do estômago. Em humanos, as células zimogênicas também produzem a enzima lipase. A exocitose do pepsinogênio é rápida e estimulada pela alimentação (após jejum).
Células enteroendócrinas
Presentes na mucosa desde o estomago até o cólon (intestino grosso), sintetizam hormônios peptídicos os quais regulam várias funções no sistema digestório e nas glândulas associadas. São encontradas principalmente próximo à base das glândulas gástricas.
São considerados seis hormônios peptídicos gastrointestinais principais: secretina, gastrina colecistoquinina (CCK), pepitídio insulinotrópico dependente de glicose, motilina e grelina.
A secretina é produzida pelas glândulas das criptas de Lieberkuhn duodenais quando o conteúdo gástrico chega ao duodeno. Ela estimula a liberação de um fluido rico em bicarbonato pelas glândulas duodenais de Brunner e pelo pâncreas para controlar a secreção ácida e regular o Ph do conteúdo duodenal.
A gastrina é produzida pelas células G localizadas no antro pilórico, ela estimula a produção de HCl pelas células parietais.
A colecistoquinina é produzida no duodeno e estimula a contração da vesícula biliar e o relaxamento do esfíncter de Oddi, quando o quimo rico em proteínas e gorduras entra no duodeno.
A motilina é liberada ciclicamente pela região superior do intestino delgado durante o jejum e estimula a motilidade gastrointestinal.
A grelina é produzida no estômago (fundo). A grelina estimula a secreção do hormônio do crescimento. Os níveis plasmáticos de grelina aumentam durante o jejum, causando a sensação de fome ao agir sobre os centros hipotalâmicos da fome.
O peptídeo isulinotrópico dependente de glicose, produzido no duodeno, estimula a liberação de insulina (efeito insulinotrópico) quando a glicose é detectada no intestino delgado.

Piloro
O piloro possui fossetas gástricas profundas, nas quais as glândulas pilóricas se abrem. Comparada à região cárdia, a região pilórica possui fossetas mais longas e glândulas mais curtas. Estas glândulas secretam muco, assim como quantidades apreciáveis de lisozimas. A região pilórica apresenta muitas células enteroendócrinas secretoras de gastrina, intercaladas com células mucosas.
Outras camadas do estômago
A submucosa é composta de tecido conjuntivo denso não modelado contendo vasos sanguíneos e linfáticos; além das células usualmente encontradas no tecido conjuntivo, está infiltrada por células linfoides e macrófagos. Corpos celulares de neurônios e fibras nervosas do plexo mucoso de Meissner também podem ser encontrados.
A camada muscular é composta por fibras musculares lisas orientadas em três direções principais. A camada externa é longitudinal, a média é circular e a interna é obliqua. No piloro, a camada média encontra-se muito mais espessa para formar o esfíncter pilórico. O estômago é revestido por uma membrana serosa delgada.
Contrações da túnica muscular estão sob o controle dos gânglios do plexo nervoso autônomo (plexo mioentérico de Auerbach), localizados entre as camadas de músculos.
Intestino Delgado
O intestino delgado é o sítio terminal de digestão dos alimentos, absorção de nutrientes e secreção endócrina.
Os processos de digestão são completados no intestino delgado, onde os nutrientes (produtos da digestão) são absorvidos pelas células epiteliais de revestimento. O intestino delgado é relativamente longo- aproximadamente 5m- e consiste em 3 segmentos: duodeno, jejuno e íleo.
A parede do intestino delgado consiste em quatro túnicas: (1) a mucosa, (2) a submucosa, (3) a túnica muscular e (4) a serosa ou peritônio. As diferenças histológicas são observadas nas túnicas mucosa e submucosa das três porções do intestino delgado. A túnica muscular e a serosa são semelhantes em todas as porções do intestino.
Mucosa
A mucosa do intestino delgado apresenta várias estruturas que aumentam a sua superfície, aumentando assim a área disponível para a absorção de nutrientes, são elas: (1) as pregas circulares, (2) as vilosidades ou vilos intestinais, (3) as glândulas intestinais e (4) os microvilos na superfície apical das células do epitélio de revestimento (enterócitos).
Uma prega circular é uma prega permanente formada pela mucosa e pela submucosa envolvendo o lúmen do intestino. Essas pregas são mais desenvolvidas no jejuno.
Os vilos intestinais são projeções digitiformes da mucosa, cobrindo totalmente a superfície do intestino delgado. O epitélio que reveste os vilos se entende profundamente na mucosa, formando criptas que terminam na camada muscular da mucosa. O comprimento dos vilos depende do grau de distensão da parede intestinal e da contração das fibras musculares lisas dos vilos. Entre os vilos existem pequenas aberturas de glândulas tubulares simples denominadas de glândulas intestinais ou criptas de Lieberkunh.
A camada muscular da mucosa é o limite entre a mucosa e a submucosa. A túnica muscular é formada por uma camada de músculo liso circular interna e por uma camada de músculo liso longitudinal externo. A túnica muscular é responsável pela segmentação e pelos movimentos peristálticos do conteúdo do intestino delgado. A serosa, uma fina camada de tecido conjuntivo recoberta por um epitélio pavimentoso simples ou mesotélio, forma o peritônio visceral. O peritônio parietal recobre a superfície interna da parede abdominal.

Vilos e glândulas intestinais
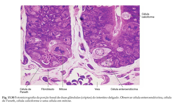
A mucosa intestinal, incluindo as criptas de Liebekuhn, é revestida por um epitélio simples cilíndrico contendo quatro tipos celulares principais: (1) células absortivas ou enterócitos, (2) células caliciformes, (3) células de Paneth e (4) células enteroendócrinas. Células-tronco, células de Paneth e células enteroendócrinas são encontradas nas criptas de Lieberkuhn.
Células absortivas são células colunares altas, cada uma com um núcleo oval em sua porção basal. No ápice de cada célula existe uma camada homogênea denominada borda estriada ou borda em escova. Constituídas das microvilosidade e das glicoproteínas da membrana plasmática da célula. Estima-se que cada célula absortiva possua em média 3000 microvilosidades, que aumentam a área da superfície luminal. A função mais importante das células colunares intestinais é absorver as moléculas nutrientes produzidas durante a digestão.
Células caliciformes estão distribuídas entre as células absortivas. Elas são menos abundante no duodeno e aumentam em número em direção ao íleo. Estas células produzem glicoproteínas ácidas do tipo mucina, que vão constituir o o muco, cuja função principal é proteger e lubrificar o revestimento do intestino.
Células de Paneth, localizadas na porção basal das glândulas intestinais, são células exócrinas com grandes grânulos de secreção eosinofílicos em seu citoplasma apical, contendo lisozima e defensina que desempenham um papel no controle da flora intestinal.
Células M (microfold) são células epiteliais especializadas que recobrem os folículos linfóides das Placas de Peyer, localizadas no íleo. Estas células participam da resposta imunológica, captando antígenos por endocitose e transportando-os para os macrófagos e nódulos linfóides.
As células enteroendócrinas do intestino são células semelhantes às encontradas no estômago, secretam hormônios peptídicos que controlam várias funções do sistema gastrointestinal.

Lâmina própria à serosa
A lâmina própria do intestino delgado é composta por tecido conjuntivo frouxo com vasos sanguíneos e linfáticos, fibras nervosas e fibras musculares lisas que preenche a vilosidade intestinal.
A muscular da mucosa não apresenta qualquer peculiaridade nesse órgão. A submucosa contém, na porção inicial do duodeno, grupos de glândulas tubulares enoveladas ramificadas que se abrem nas glândulas intestinais. Estas são as glândulas duodenais ou glândulas de Brunner, secretoras de um muco alcalino que protege a mucosa duodenal contra os efeitos da acidez do suco gástrico e neutraliza o pH do quimo, aproximando-o do pH ótimo para a ação das enzimas pancreáticas.
A lâmina própria e a submucosa do intestino delgado contêm agregados de nódulos linfoides conhecidos como placa de Peyer, um importante componente do tecido linfoide associado ao trato digestivo. Cada placa consiste em 10-200 nódulos e é visível a olho nú como uma área oval no lado antimesentérico do intestino. Existem aproximadamente 30 placas em humanos, a maioria no íleo.
A camada muscular é bem desenvolvida nos intestinos composta de uma camada circular interna e outra camada longitudinal externa.
Diferenças entre duodeno, jejuno e íleo
Cada uma das três porções anatômicas do intestino delgado- o duodeno, o jejuno e o íleo- possui características distintas que permitem o seu reconhecimento ao microscópio óptico:
Duodeno: (1) Ele possui glândulas de Brunner na submucosa, (2) os vilos são largos e curtos (em formato de folha), (3) o duodeno é envolto por uma serosa incompleta é por uma extensa adventícia, (4) o duodeno recebe a bile e as secreções do pâncreas transportadas pelo ducto biliar comum (ducto colédoco) e pelo ducto pancreático, respectivamente. O esfíncter de Oddi está presente na porção ampular terminal dos dois ductos convergentes. (5) A base das criptas de Lieberkuhn pode conter células de Paneth.


Jejuno: (1) Ele possui longos vilos digitiformes e um vaso quilífero bem desenvolvido no eixo do vilo. (2) O jejuno não contém glândulas de Brunner na submucosa. (3) A lâmina própria pode apresentar placas de Peyer, embora não sejam dominantes. As placas de Peyer são estruturas características do íleo. (4) As células de Paneth são encontradas na base das criptas de Lieberkunh.


Íleo: possui uma proeminente característica para o seu diagnóstico: as placas de Peyer, conjuntos de grandes folículos linfoides encontrados na mucosa e submucosa. A ausência de glândulas de Brunner na submucosa e a presença de vilos digitiformes mais curtos- quando comparados com os vilos do jejuno- são características adicionais do íleo. Assim como no jejuno, as células de Paneth são encontradas na base das criptas de Lieberkuhn.



Intestino grosso
O intestino grosso é formado pelo (1) ceco e apêndice associado, (2) pelo cólon ascendente, transverso e descendente, (3) colon sigmoide, (4) pelo reto e (5) pelo ânus. Sua principal função é a absorção de água e formação da massa fecal. A absorção de água é passiva, seguindo o transporte ativo de sódio pela superfície basal das células epiteliais.
As pregas circulares e as vilosidades intestinais não são observadas após a válvula íleocecal. A mucosa do intestino grosso é revestida por um epitélio cilíndrico simples formado por enterócitos e muitas células caliciformes, produtoras de muco. Os enterócitos tem microvilos apicais curtos. Um das principais funções dos enterócitos no intestino grosso é o transporte de água e íons. Os produtos secretados pelas células caliciformes lubrificam a superfície da mucosa.
Abaixo do epitélio de revestimento observa-se uma lâmina própria constituída de tecido conjuntivo frouxo, nessa região estão presentes glândulas tubulares simples denominadas de glândulas intestinais ou criptas de Lieberkunh. Elas contêm células enteroendócrinas e células-tronco. As células de Paneth não estão presentes. Elas podem estar presentes no ceco.
A lâmina própria é rica em células linfoides e em nódulos que frequentemente se estendem até a submucosa. Esta riqueza em tecido linfoide está relacionada à população bacteriana abundante no intestino grosso. A camada muscular está constituída pelas camadas circular e longitudinal. No entanto, esta camada é diferente daquela observada no intestino delgado porque fibras da camada longitudinal externa se unem para formar três bandas longitudinais espessas, denominadas tênias do colo. A contração das tênias do colo e da camada de músculo liso circular interna produz saculações periódicas denominadas haustrações. Nas porções livres do colo, a camada serosa é caracterizada por protuberâncias pequenas pedunculadas formadas por tecido adiposo os apêndices epiplóicos.


Na região anal, a membrana mucosa forma uma série de dobras longitudinais, as colunas retais (de Morgagni). Cerca de 2 cm acima da abertura anal a mucosa intestinal é substituída por epitélio pavimentoso estratificado, e a camada circular interna de músculo liso se espessa para formar o esfíncter anal interno. Além desta região, a pele do ânus é revestida por um epitélio pavimentoso estratificado queratinizado e a derme contém glândulas sudoríparas e sebáceas (glândulas circunanais) O esfíncter anal externo, formado por músculo esquelético está presente.
O apêndice é uma evaginação do ceco; é caracterizado por um lúmen relativamente irregular, pequeno e estreito devido à presença de nódulos linfoides abundantes em sua parede. Embora sua estrutura geral seja similar à do intestino grosso, ele contém glândulas intestinais menores e menos numerosas e não possui tênias do colo.

Regeneração celular no trato gastrointestinal
As células epiteliais de todo o trato gastrointestinal são constantemente descamadas e repostas por novas células formadas por meio de divisão das células-tronco. Células-tronco estão localizadas na camada basal do epitélio esofágico, istmo e colo das glândulas gástricas, porção inferior das glândulas do intestino delgado e intestino grosso. A partir desta zona proliferativa em cada órgão, as células se movem para a zona de diferenciação, onde sofrem maturação estrutural e enzimática, promovendo uma população celular funcional para cada região. No intestino delgado as células morrem por apoptose no topo das vilosidades, onde são descamadas.
Variações fisiológicas das proteínas plasmáticas
Em geral, os valores de proteína total no plasma têm em torno de 5% a mais do que os de soro, por causa do fibrinogênio. Esses valores estão influenciados pelas seguintes variações fisiológicas:
– Idade: os animais neonatos apresentam níveis baixos de proteínas plasmáticas devido a possuírem pequenas quantidades de imunoglobulinas e albumina. À medida que o animal ingere colostro, aumentam os níveis de globulinas progressivamente até a maturidade. Assim, em animais de menos de seis meses, os valores se situam no intervalo menor de referência. De qualquer forma, com exceção dos primeiros dias de vida, as diferenças nunca são de tal magnitude que possam ser confundidas com problemas clínicos.
– Gestação e lactação: durante a gestação, a concentração de proteínas plasmáticas diminui devido a uma baixa na quantidade de albumina, apesar do pequeno aumento das globulinas. Contudo, ao término da gestação, ocorre um marcado aumento das gamaglobulinas, que leva a um aumento do total de proteínas. Na lactação, volta a ocorrer uma descida de proteínas causada pela diminuição da albumina.
– Hormônios: a testosterona, os estrógenos e o hormônio do crescimento podem causar incremento na concentração de proteínas por seus efeitos anabólicos. O cortisol e a tiroxina causam o contrário por seus efeitos catabólicos.
Hiperproteinemia
Os aumentos de proteínas totais na clínica veterinária podem ser produzidos por aumentos de albumina e/ou de globulinas. Esses aumentos são causados por dois motivos principais: desidratação e inflamação.
Desidratação
Vem acompanhada de aumento de albumina e de globulinas. Os níveis de proteínas estão aumentados por hemoconcentração ao diminuir o volume plasmático. Essa desidratação deve ser confirmada mediante exame físico do animal e deve produzir outras alterações analíticas, como aumento do hematócrito. Nesses casos, os níveis de albumina estão elevados de forma relativa, pois aumento verdadeiro de albumina não tem sido descrito. Esse aumento relativo também se produz nas globulinas.
Inflamação
Vem acompanhada de baixa de albumina e aumento das globulinas. Nesses casos, maiores detalhes sobre tipo e causa da inflamação são obtidos por meio do proteinograma, que permite estudar as diferentes frações de globulinas de forma individual. Em geral, aumento de globulinas por problemas inflamatórios acompanham baixa concomitante na concentração de albumina e se enquadra na resposta de fase aguda.
Hipoproteinemia por baixa de albumina
Inclui processos onde estão diminuídas as proteínas totais e que cursam com baixa de albumina, sendo esta a fração que mais se afeta. As globulinas têm uma resposta variável, pois podem estar também diminuídas (casos de hemorragia, má absorção, insuficiência cardíaca), normais ou aumentadas (em caso que houvesse uma inflamação concomitante). As causas de diminuição de albumina podem ser agrupadas em três processos: síntese ou absorção, perdas e diluição.
Problemas de síntese ou absorção de albumina
· Insuficiência hepática: a diminuição de albumina nesses casos pode ser de moderada a severa, dependendo do grau de alteração da função hepática. Não ocorre hipoalbuminemia até que a massa funcional hepática diminua em 70-80%, implicando cronicidade do processo causador. As provas de funcionalidade hepática estarão alteradas nesses casos.
· Falha de absorção intestinal: incluir problemas de: (a) má digestão por insuficiência pancreática, em que a baixa de albumina é moderada e apenas em casos sem tratamento por tempo prolongado; os animais afetados apresentam perda de peso severa, diarreia de intestino delgado e esteatorréia: e (b) má absorção (enteropatia com perda de proteínas). Em geral, há suspeita dessas alterações quando ocorrem baixas moderadas a severas de albumina, com ou sem diarreia, e se descartam outras causas de queda de albumina. No diagnóstico de enteropatia com perda de proteínas, recomenda-se realizar exame endoscópico e análise de biópsia intestinal.
· Má nutrição proteica: pode ocorrer baixa na albumina em situações bastante prolongadas e graves, pois existe um mecanismo de compensação que consiste na passagem de albumina do espaço extravascular (tecidos) ao intravascular. Assim, se observa uma considerável perda de proteínas tissulares com mudanças menores das proteínas plasmáticas.
Perdas excessivas de albumina
· Síndrome nefrótica: produzida por alterações dos glomérulos renais (amiloidose renal ou glomerulonefrite). Nesse caso, a principal proteína perdida é a albumina porque sua molécula é menor, embora, em casos de dano glomerular grave também se percam globulinas. A hipoalbuminemia pode ser severa, acompanhada de proteinúria.
· Hemorragias e lesões exsudativas por queimaduras ou traumatismos: nesses casos diminuem a albumina e as globulinas por igual, e a hipoproteinemia ocorre por dois mecanismos: (1) perda de proteínas pelas hemorragias ou lesões, e (2) passagem de fluido extravascular ao sistema vascular para restaurar o volume plasmático, o que gera uma redução na concentração de proteínas plasmáticas. Este último mecanismo é bastante rápido, sendo evidenciado duas a três horas após a ocorrência do problema. A queda na concentração proteica é compensada com albumina da linfa e aumento da síntese de albumina no fígado. A máxima diminuição ocorre a 24 horas da hemorragia, e os níveis podem demorar uma semana para voltar aos valores normais. Dentro dos processos hemorrágicos, podem incluir-se o parasitismo intestinal e úlceras do estômago ou do intestino.
Diluição de proteínas séricas
Ocorre na insuficiência cardíaca congestiva e/ou hipertensão portal. Nessas patologias, há retenção de água, que produz um aumento da pressão hidrostática e uma diminuição relativa das proteínas totais com hipoalbuminemia moderada. Além da diluição pela água retida, nesses processos há outros mecanismos que contribuem à queda de proteínas, tais como perdas no fluido ascítico, diminuição da ingesta de alimento, síntese reduzida de proteínas hepáticas e síndrome de má absorção.
Hipoproteinemia por diminuição de globulinas
Esta diminuição é produzida fundamentalmente por problemas de imunodeficiência devido à ingestão inadequada de colostro e diminuição de gamaglobulinas. Esses animais são suscetíveis a infecções e problemas parasitários.
Eletroforese de proteínas
A eletroforese é realizada para obter informação adicional sobre as diferentes frações proteicas. É uma técnica que permite a separação dos diferentes tipos de proteínas em um suporte (acetato de celulose ou gel de agarose) sob a influência de um campo elétrico. Assim, a pH alcalino, a maioria das proteínas estão carregadas negativamente e, ao aplicar um campo elétrico, migram para o polo positivo com diferente velocidade dependendo de suas propriedades físicas, obtendo a sua separação em frações. Para revelar as proteínas separadas na eletroforese, o suporte é tratado com corantes específicos (negro de amido, azul de Coomassie ou azul de bromofenol) aparecendo as frações proteicas como bandas com intensidade de cor variável, podendo ser quantificadas por um densitômetro. Os resultados se mostram no proteinograma ou imagem das distintas frações proteicas. A largura e altura de cada fração indica a quantidade relativa de cada fração proteica. Combinando essa informação com a concentração de proteínas totais (determinada por refratometria ou colorimetria), é possível calcular os valores absolutos de cada fração proteica. Em geral, são diferenciadas, como mínimo, cinco frações proteicas na eletroforese:
Albumina: tendo maior eletronegatividade, a albumina migra a maior velocidade e aparece mais próxima do polo positivo. Esta fração está representada por um pico agudo, integrado por apenas uma proteína.
Alfa-globulinas: de forma global, as frações α (1 e 2) estão integradas por dois componentes: as proteínas de fase aguda e as lipoproteínas. As proteínas de fase aguda mostram variação em sua concentração quando ocorre qualquer processo inflamatório e, portanto, constituem importantes marcadores da inflamação. São diferenciadas em dois tipos: (1) proteínas de fase aguda negativas, que diminuem sua concentração diante de uma inflamação (ex. albumina e transferrina); (2) proteínas de fase aguda positivas, que aumentam sua concentração com a inflamação (ex. haptoglobina, proteína C reativa, amiloide A sérica, α-1 glicoproteína e ceruloplasmina). A magnitude da resposta de cada proteína varia conforme a espécie; assim, em ruminantes a haptoglobina é a proteína que mais aumenta, enquanto, no cão, é a proteína C reativa.
Beta-globulinas: nesta fração, embora estejam outras proteínas, como a transferrina, destacam-se proteínas com função imunológica, como as imunoglobulinas IgM e IgA. Também nesta fração, aparece a proteína C reativa, que é uma das proteínas de fase aguda que mais aumenta no cão em um processo inflamatório. Nas β-globulinas, incluem-se também compostos que podem produzir interferências ou artefatos, como fibrinogênio e hemoglobina (importante em amostras com hemólise).
Gama-globulinas: esta fração está integrada apenas pelas imunoglobulinas, sendo dividida por alguns autores em duas frações: (1) gama 1, integrada por IgM e IgE; (2) gama 2, integrada pela IgG. As imunoglobulinas estão distribuídas entre as frações β e γ. Dessa forma, as IgA e parte das IgM estão na fração β, enquanto na fração γ estão o resto das IgM e parte das IgG, que, quantitativamente e em condições normais, representam 85% das imunoglobulinas.
Interpretação clínica do proteinograma
Para realizar a interpretação do proteinograma, convém seguir os seguintes passos:
1. Considerar sempre a anamnese, o quadro clínico do animal e outros parâmetros analíticos do perfil básico. Dentro do quadro clínico, é importante indicar o grau de hidratação do animal.
2. Considerar a qualidade da amostra, uma vez que a hemólise e a lipemia podem influir na interpretação do proteinograma.
3. Interpretar as proteínas totais e os níveis de albumina e globulinas.
4. Interpretar o proteinograma conforme os pontos a seguir:
– Características da albumina: o pico de albumina permite apreciar a qualidade do proteinograma, porque sempre migra ao mesmo lugar e deve ter uma base estreita. Podem encontrar-se aumentos ou baixas de albumina explicados anteriormente.
– Características da fração alfa-globulinas: (1) Aumentos de α-1 e α-2 globulinas que ocorrem em vários processos patológicos, tais como, problemas inflamatórios agudos, que aumentam as proteínas de fase aguda integradas nesta fração, sobretudo a haptoglobina, entre os quais problemas infecciosos e parasitários, traumatismos e tumores. Também ocorrem no síndrome nefrótico, que aumenta as lipoproteínas desta fração. Contudo, esta doença geralmente é diagnosticada previamente com a presença de proteinúria, sem sinais de inflamação no trato urinário, de forma que o proteinograma nesse caso seria complementar. Também pode haver altas concentrações de α-2 globulinas em cães tratados com corticoides. A causa pode ser a mobilização de lipoproteínas, embora possa ser mais importante o aumento de haptoglobina induzido pelos corticoides. (2) Baixa de α-2 globulinas, fato que pode ser devido a hemólise intravascular, ou por formação de complexos hemoglobina-haptoglobina, que são fagocitados pelos macrófagos do sistema retículo-endotelial, especialmente no fígado, causando diminuição de haptoglobina. Isso pode ser confirmado por outros achados, como queda no valor do hematócrito e diversos sinais analíticos e clínicos de anemia hemolítica. A baixa desta fração pode estar mascarada por um processo inflamatório associado à hemólise.
– Características das frações beta e gama-globulinas: (1) Elevação das β-globulinas: Com exceção de aumentos devido à transferrina em casos de déficit de ferro (anemia ferropênica), é raro encontrar aumento isolado da fração β. Assim, quase sempre, a elevação de β-globulinas está relacionada com aumentos da fração gama. Em ocasiões aparece um pico único das duas frações denominado “bloqueio beta-gama”, produzido por aumento de várias imunoglobulinas. (2) Elevação de γ-globulinas. Ocorre em grande quantidade de processos denominados gamapatias, que podem ser divididas em policlonais e monoclonais, diferenciadas mediante o proteinograma. Para isso, compara-se a fração gama com a base da fração albumina. Se for similar à albumina (estreita), estará integrada por uma só proteína (monoclonal). Se o pico tiver a base larga comparada com a albumina, conterá diferentes proteínas (policlonal). A gamapatia policlonal está relacionada com processos inflamatórios de tipo crônico, como infecções-infestações crônicas ou doenças imunomediadas. A gamapatia monoclonal é produzida por proliferações clonais de células neoplásicas da série de linfócitos B, como em casos de tumores de células plasmáticas (mieloma múltiplo ou plasmocitoma), e em leucemia linfocítica crônica de células B funcionais ou linfoma de células B funcionais.
Proteínas de fase aguda
As PFA participam da reação de fase aguda do organismo. A reação de fase aguda compreende uma série de eventos destinados a prevenir o dano aos tecidos, eliminar os organismos infecciosos e melhorar o processo de recuperação da homeostase (equilíbrio) no organismo. Ela inicia com os macrófagos do tecido afetado ou com os monócitos e linfócitos sanguíneos que liberam uma série de mediadores químicos, entre eles as citoquinas, as quais atuam sobre fibroblastos e células endoteliais vizinhas à lesão causando uma segunda onda de citoquinas, que disparam a reação de fase aguda atuando local e sistemicamente. Localmente, as citoquinas mediam o recrutamento de neutrófilos e células mononucleares ao lugar de inflamação. Sistemicamente, atuam sobre o sistema imune, a medula óssea, o cérebro e o fígado. A reação é complementada com a resposta febril, aumento de ACTH, leucocitose e alteração da expressão hepática das PFA.
A função das PFA está refletida nas suas atividades atribuídas, tais como retirar restos celulares, hemoglobina e radicais livres, unir componentes bacterianos, ativar o complemento, fazer redistribuição do colesterol e promover a produção de imunoglobulinas. As PFA hepáticas têm sido classificadas em positivas e negativas dependendo de seu aumento ou diminuição, respectivamente, diante de um estímulo inflamatório. Entre as PFA negativas estão a albumina e a transferrina. Entre as PFA positivas estão a haptoglobina (Hp), a proteína C reativa (CRP), a amiloide A sérica (SAA), a ceruloplasmina (Cp), o fibrinogênio e a glicoproteína α1-ácida (AGP ou ASG).
Uma aplicação prática da análise das PFA é como auxiliar no diagnóstico de doenças inflamatórias e infecciosas com bastante sensibilidade, ao ponto que têm sido chamadas de “termómetros químicos”. Também têm sido detectados aumentos em casos de trauma cirúrgico, estresse de transporte e em transtornos metabólicos, como acidose e lipidose hepática. Em casos de mastite em vacas, os valores podem aumentar tanto no sangue quanto no leite As PFA têm padrões de secreção e comportamento diferentes dependendo da espécie animal. Consideram-se PFA principais aquelas que, após um estímulo, aumentam em mais de cem vezes e PFA moderadas aquelas que têm aumentos de duas a três vezes.
Haptoglobina
A haptoglobina (Hp) é uma glicoproteína tetramérica que tem a propriedade de unir-se à hemoglobina. Esta propriedade permite retirar a hemoglobina de circulação e levá-la ao fígado para ser catabolizada a fim de prevenir lesões renais e evitar a sua perda pela urina quando ocorre hemólise. A Hp é considerada uma das principais PFA, principalmente nos ruminantes, uma vez que, nos animais sãos, a sua concentração sérica é muito baixa ou indetectável, enquanto em vários estados patológicos ocorrem aumentos consideráveis chegando até 100 vezes seu valor basal. O aumento da Hp é rápido e pode detectar animais infectados antes da apresentação de sinais clínicos, sendo que sua concentração pode ser usada como indicador da severidade da infecção. O achado de que a Hp é secretada pelo leite e de que aumenta sua concentração em casos de mastite, confere grande potencial a esta proteína de fase aguda no diagnóstico precoce deste problema em ruminantes, ainda mais com evidências de que os aumentos seriam detectados antes de que aumentem as contagens de células somáticas, até agora considerado o indicador mais sensível nesses casos (padrão-ouro). Em suínos, a Hp ajuda na monitoração do estado sanitário e o nível produtivo, observando-se aumentos em vários tipos de infecções bacterianas e em situações de estresse por transporte ou pré-abate. Em cães, os níveis de Hp mostram correlações positivas e aumento em condições inflamatórias e por aplicação de corticoides.
Amiloide A sérica
A proteína amiloide A sérica (SAA) é uma apolipoproteína associada a proteínas HDL durante a resposta de fase aguda. Seu nome é devido à semelhança com a amiloide A, uma proteína fibrosa presente na amiloidose sistêmica. Junto com a Hp têm sido estudadas como as principais PFA nos ruminantes. A Hp e a SAA sofrem aumentos após transporte de caminhão 24 a 48 h após o início, o que está relacionado com outros indicadores de estresse (neutrofilia e linfopenia). A relação entre estresse e PFA está ligada à modulação que os glicocorticoides exercem sobre a produção hepática destas proteínas. O potencial das PFA em relação a estudos de bem-estar animal e estresse deverá ser mais explorado no futuro. Em ruminantes também tem sido achado aumento de SAA em casos de mastite. Em suínos ocorrem aumentos de SAA mais rápidos que a Hp em casos de infecções por Actinobacillus. Em cavalos, a SAA é a PFA de escolha com grandes aumentos em casos de infecções bacterianas ou virais. Parece ser que em bovinos a SAA indicaria lesões inflamatórias agudas, enquanto a Hp indicaria patologias mais crônicas.
Proteína C reativa
A proteína C reativa (CRP) foi a primeira das PFA a ser descrita em 1930 e batizada assim porque foi descoberta no soro de humanos com infecção pneumocócica onde havia reação com o polissacarídeo C do pneumococo. Possui mais importância em caninos, felinos e suínos e menos em cavalos e ruminantes. Em cães com tumores, a concentração de CRP sérica encontrada tem sido maior naqueles com a doença disseminada do que naqueles com neoplasia localizada ou benigna.
Ceruloplasmina
A ceruloplasmina (Cp) tem sido estudada como uma glicoproteína de origem hepática transportadora de cobre. Seus aumentos após estímulo inflamatório são pequenos, considerada, portanto, como uma PFA moderada. Têm sido relatados aumentos em suínos infestados com tênia e em bovinos com metrite e na involução uterina.
Glicoproteína α1-ácida
A glicoproteína α1-ácida (ASG) faz parte das proteínas consideradas como seromucoides, caracterizadas por possuírem cadeias de oligossacarídeos, principalmente ácido siálico na sua estrutura. Estas proteínas resistem à precipitação com ácidos, sendo a fração que fica solúvel após a adição de ácido perclórico. A ASG é considerada uma PFA moderada.
Fibrinogênio
O fibrinogênio, glicoproteína de origem hepática, participa da reação de coagulação sanguínea (fator I) sendo o precursor da fibrina que é convertida por ação da trombina, na etapa final do processo. Por muitos anos, foi considerada como a única proteína de fase aguda conhecida, tendo aumentos significativos em processos inflamatórios agudos e crônicos, sendo de maior utilidade nos ruminantes e nos cavalos. A sua determinação pelo método refratométrico e aquecimento a 56ºC faz dele a PFA mais fácil de determinar. O método consiste na obtenção de duas amostras de sangue em capilares de microhematócrito centrifugadas e da determinação da proteína no plasma pelo método refratométrico em uma delas (P1), seguido de aquecimento a 56ºC por três minutos da segunda amostra, centrifugação e nova determinação da proteína no plasma (P2). O valor de fibrinogênio corresponde à diferença de P1 – P2.
Albumina
A albumina é a principal proteína plasmática, sendo considerada uma PFA negativa, isto é, diminui a sua síntese e concentração em processos inflamatórios. O aumento de fibrinogênio e outras PFA e o decréscimo na albumina são causados em parte por uma mudança brusca da produção de proteínas hepáticas com supressão da síntese de albumina e aumento da síntese de PFA. Uma vez que a concentração de proteína total permanece constante, acredita-se que outras proteínas como as globulinas e as PFA devem preencher o espaço resultante da diminuição de albumina circulante.
Transferrina
A transferrina é uma glicoproteína plasmática transportadora de ferro. Apesar de que apenas 0,1% do ferro total do organismo está ligado à transferrina, ela constitui o mais importante pool deste mineral por sua altíssima taxa de troca entre tecidos. A transferrina liga com grande afinidade Fe3+ mas não liga Fe2+. É considerada, junto com a albumina uma PFA negativa. Um baixo teor de transferrina em casos de infecções, pode levar a anemia, pois ela é necessária para o transporte de Fe destinado à síntese de hemoglobina; contrariamente, uma anemia ferropriva leva a aumento no teor de transferrina.
Dosagem de Colesterol e suas frações
A fórmula de Friedewald, [LDL] = (CT - HDL) - (TG/5), envolve várias etapas como, as determinações diretas do colesterol total (CT), colesterol HDL (HDL) e triglicérides (TG), consequentemente, cada quantificação contribui com uma potencial fonte de erro.
REFLEXÃO: Hoje a aula foi muito boa, vimos bastante coisas, principalmente em parte de histologia. A prova já está vindo por aí e já estamos começando a ficar receosos. Bastante coisa pra estudar e relembrar. Espero que todos consigam ir bem.


































Comentários